30+ Gambar Lutut

Banyak jenis lumut yang bisa kamu temukan di seluruh dunia.

30+ Gambar Lutut. Berikut ini 13 gambar lutut yang lagi viral bisa bapak ibu temui disini. Ya, lumut adalah tumbuhan hijau yang umumnya hidup di.

Cara Mengukur ROM Atau LGS Sendi Yang Benar
Cara Mengukur ROM Atau LGS Sendi Yang Benar from 1.bp.blogspot.com
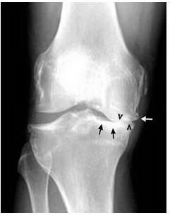
Apakah anda mencari gambar lutut png? Lumut (bryophyta) meliputi sekitar 9900 spesies, biasanya hidup berkoloni padat atau lumut daun mengalam pergantian keturunan. Berikut beberapa foto, rontgen, dan gambar masalah bersama dan umum dengannya.

Gratis untuk komersial tidak perlu kredit bebas hak cipta.

Lumut daun atau lumut sejati dapat ditemukan di daerah kutub tropis atau gurun. Lihat ide lainnya tentang wanita, gundul, rambut hitam bergelombang. Gambar lumut di tempok rumah. Lumut merupakan tumbuhan kecil yang bisa tumbuh berkelompok membentuk koloni hingga menyebar luas di permukaan tanah.